Bolečine v gležnju in stopalu
Zvin
GLEŽNJA
Zvin gležnja je med najpogostejšimi mišično-skeletnimi poškodbami in predstavlja skoraj polovico vseh poškodb spodnjih okončin. Pogosto se ponavlja, kar lahko vodi v kronično nestabilnost sklepa in celo artrozo. Ob vsakem petem zvinu pride tudi do deformacij sklepnega hrustanca.

01. Stopnje zvinov gležnja
stabilnost ni prizadeta.
2. stopnja – delno raztrganje vezi, zmerna bolečina in oteklina, manjša
nestabilnost, oteženo obremenjevanje.
3. stopnja – popolno pretrganje vezi, močna bolečina in oteklina, popolna
nestabilnost, obremenjevanje ni mogoče.
02. Vrste zvinov glede na smer
zunanji strani gležnja (ATFL, CFL, PTFL, CCL). Pogosto nastane pri doskoku
ali ob nenadnem prenosu teže.
Everzijski zvin (zvin navzven) – redkejši, a pogosto hujši, poškodovan je
deltoidni ligamentarni kompleks (DL), možni so zlomi in poškodbe
sindezmoze.
03. Zapleti zvinov gležnja
- Zlomi (Weber tip)
- Poškodba hrustanca in kosti
- Poškodba živcev in tetiv
- Kronična nestabilnost
- Osteoartritis
04. Diagnoza zvinov gležnja
ortopedske medicine in manualne terapije.
Uporabljamo:
- Klinično testiranje (izključitev zlomov, izpahov, poškodb sindezmoze)
- Posebni testi stabilnosti
- V kolikor je potrebno vas napotimo na nadaljnjo slikovno diagnostiko: RTG, MRI
05. Zdravljenje in rehabilitacija
- Akutna faza: zmanjšanje bolečine in otekline (krioterapija)
- Manualna terapija in instrumentalne metode
- Globoka prečna frikcija za pravilno celjenje vezi in tetiv
- Individualna terapevtska vadba za moč, stabilnost in gibljivost
terapije.
06. FAQ
- Kako vem, da imam zvin in ne zloma? Ob hujši bolečini, oteklini in nezmožnosti obremenitve je nujen pregled, saj brez diagnostike ni mogoče izključiti zloma.
- Kako hitro po poškodbi začeti fizioterapijo? Priporočamo čim prej – najbolje takoj po poškodbi, oziroma v prvih 48 urah, da preprečimo zaplete in pospešimo celjenje.
- Ali lahko zvin pozdravim doma? Lažji zvini (1. stopnje) se lahko obravnavajo doma, a vedno priporočamo strokovni pregled za izključitev resnejše poškodbe.
- Kako dolgo traja rehabilitacija? Pri lažjih zvinov 2–4 tedne, pri hujših 6–12 tednov.
Zlom in izpah
GLEŽNJA
Zlom (fraktura) gležnja je poškodba kosti skočnega sklepa, ki nastane ob večjih silah kot pri zvinu. Pogosto so simptomi podobni zvinu, zato lahko zlom ostane spregledan.
Izpah gležnja je hujša poškodba, pri kateri sklep zapusti svojo anatomsko lego. Pogosto ga spremljajo zlomi kosti in hude poškodbe vezi.

01. Simptomi zloma gležnja
- Takojšnja in močna bolečina
- Oteklina
- Bolečina ob dotiku kosti (potrkavanju)
- Težave z obremenjevanjem noge
02. Simptomi izpaha gležnja
- Vidna deformacija sklepa
- Močna bolečina in oteklina
- Omejena ali onemogočena gibljivost
- Pogosto prisoten zlom kosti
03. Zdravljenje zloma gležnja
- Konzervativno zdravljenje: imobilizacija in nato fizioterapija
- Kirurško zdravljenje: pri kompleksnejših zlomih ali izpahih
- Cilji terapije: zmanjšanje otekline in bolečine, povrnitev gibljivosti in moči
04. Rehabilitacija po zlomu in izpahu
- Akutna faza – zmanjšanje bolečine in otekline (krioterapija, limfna drenaža)
- Manualna in instrumentalna terapija – pospešitev celjenja tkiv
- Specialna terapevtska vadba – izboljšanje moči, vzdržljivosti, stabilnosti in funkcionalnosti gležnja
- Vrnitev v vsakodnevne aktivnosti – preprečevanje ponovnih poškodb
05. Zakaj zdravljenje pri nas?
- Izkušeni fizioterapevti za ortopedske in pooperativne poškodbe
- Celovit pristop: manualna + instrumentalna terapija + vadba
- Sodobne tehnologije: Tecar, ESWT, HiToP, laser …
- Lokacija: Ravne na Koroškem – dostopno tudi pacientom iz Prevalj, Dravograda, Mežice, Črne na Koroškem in Slovenj Gradca
06. FAQ
- Kako razlikujem zvin, zlom in izpah? Zvin prizadene vezi, zlom kost, izpah pa povzroči premik sklepa iz svoje lege. Za potrditev je potrebna diagnostika (RTG, MRI).
- Kako hitro začeti fizioterapijo po zlomu ali izpahu? Takoj po koncu imobilizacije ali po navodilu kirurga, da se prepreči izguba gibljivosti.
- Ali je rehabilitacija enaka kot pri zvinu? Podobna je, vendar pri zlomu in izpahu običajno traja dlje in vključuje postopno obremenitev.
- Kako dolgo traja rehabilitacija? Pri manjših zlomih 6–8 tednov, pri hujših poškodbah tudi do 6 mesecev.
Kronična nestabilnost
GLEŽNJA
Značilni simptomi:
- Pogosti ali ponavljajoči se zvini
- Občutek nestabilnosti pri hoji
- Otekanje gležnja
- Bolečina in spremenjen vzorec hoje

01. Kaj je kronična nestabilnost gležnja?
Kronična nestabilnost gležnja (sindrom nestabilnosti) je stanje, pri katerem so vezi v gležnju preohlapne (laksne), kar zmanjšuje pasivno stabilnost sklepa.
Značilni simptomi:
- Pogosti ali ponavljajoči se zvini
- Občutek nestabilnosti pri hoji
- Otekanje gležnja
- Bolečina in spremenjen vzorec hoje
02. Vzroki za kronično nestabilnost
- Slabo rehabilitirani prejšnji zvini
- Preohlapne vezi (genetska predispozicija ali posledica poškodbe)
- Slaba moč mišic stabilizatorjev gležnja
- Mišična asimetrija v moči in vzdržljivosti
03. Rehabilitacija in zdravljenje
Konzervativno zdravljenje (večina primerov):
- Akutna faza – zmanjšanje bolečine in otekline (krioterapija, manualna in instrumentalna terapija)
- Vadba – individualno prilagojena specialna terapevtska vadba za izboljšanje gibljivosti, moči, vzdržljivosti in propriocepcije
- Stabilizacija – vaje za preprečevanje ponovnih zvinov
Kirurško zdravljenje (pri popolnem pretrganju vezi):
- Rekonstrukcija vezi in odstranitev brazgotin
- Po posegu: takojšen začetek ciljno usmerjene rehabilitacije
04. Zakaj izbrati naš center?
- Strokovnjaki za ortopedsko medicino in manualno terapijo
- Uporaba najsodobnejših metod: Tecar, ESWT, HiToP, laser …
- Individualni pristop k vsakemu pacientu
- 📍 Lokacija: Ravne na Koroškem – dostopno tudi pacientom iz Prevalj, Dravograda, Mežice, Črne na Koroškem, Slovenj Gradca in Mislinje
05. FAQ
- Kako vem, da imam kronično nestabilnost gležnja? Če se vam gleženj večkrat zvije ali imate občutek “popuščanja” med hojo, je to najpogostejši znak.
- Ali je možno stanje pozdraviti brez operacije? Da, v večini primerov z ustrezno rehabilitacijo in ciljno vadbo dosežemo stabilnost.
- Kako dolgo traja rehabilitacija? Pri lažjih oblikah 4–6 tednov, po operaciji pa 3–6 mesecev.
- Ali lahko nadaljujem s športom? Da, ob pravilni vadbi in stabilizaciji je možna vrnitev k športu brez povečane nevarnosti za ponovne poškodbe.
Artroza
zgornjega skočnega sklepa
Artroza (artritis) zgornjega skočnega sklepa je degenerativna sprememba, ki povzroči obrabo hrustanca med golenico, mečnico in skočnico (talus). Pojavlja se pri starejših, a tudi pri mlajših po travmatskih poškodbah, kot so zvini, zlomi ali izpahi.
Funkcija sklepa: Omogoča dorzalno fleksijo (dvig stopala proti sebi) in plantarno fleksijo (potisk stopala navzdol – “špička”).

01. Najpogostejši simptomi
- Bolečina v predelu sklepne linije zgornjega skočnega sklepa
- Omejena gibljivost (težava pri dvigu ali spustu stopala)
- Tog občutek v gležnju po mirovanju
- Otekanje sklepa
02. Možni zapleti nezdravljene artroze
- Kronična bolečina
- Prosto telo v sklepu, ki povzroča blokado gibanja
- Napredovanje do popolne izgube funkcije sklepa
⚠ Če bolečine ignoriramo, se stanje običajno poslabša – zato ukrepajte pravočasno!
03. Rehabilitacija in zdravljenje
Konzervativno zdravljenje:
- Manualna terapija – oscilacije, trakcije, mobilizacije za sprostitev obsklepnih tkiv in zmanjšanje bolečine
- Instrumentalna terapija – Tecar, HiToP, ESWT, laser …
- Specialna terapevtska vadba – krepitev mišic, izboljšanje stabilnosti, zmanjšanje pritiska na sklep
Kirurško zdravljenje:
- Izvedemo le, če konzervativno zdravljenje ne zadostuje
- Po operaciji sledi natančno načrtovana individualna rehabilitacija
04. Zakaj izbrati nas?
- Dovoljenja za izvajanje zdravstvenih storitev
- Strokovnjaki z dolgoletnimi izkušnjami v ortopedski medicini
- Hiter začetek terapij brez čakalnih dob
- Sodobna oprema in individualni pristop
- Lokacija: Ravne na Koroškem – dostopno iz Prevalj, Dravograda, Mežice, Črne na Koroškem, Slovenj Gradca in Mislinje
05. FAQ
- Ali se artroza zgornjega skočnega sklepa lahko popolnoma pozdravi? Ne, obraba hrustanca je trajna, vendar lahko z ustrezno terapijo bistveno zmanjšamo bolečino in izboljšamo funkcijo.
- Kako hitro po diagnozi naj začnem terapijo? Priporočljivo je čim prej, da preprečimo napredovanje bolezni.
- Katera terapija je najbolj učinkovita? Kombinacija manualne terapije, instrumentalnih postopkov in specialne vadbe prinaša najboljše rezultate.
- Ali so terapije boleče? Večina terapij je nebolečih in pacienti poročajo o hitrem olajšanju simptomov.
Artritis
spodnjega skočnega sklepa
Spodnji (subtalarni) skočni sklep povezuje skočnico (talus) in petnico (kalkaneus). Ima omejeno gibljivost (do 40°) in omogoča predvsem gibanje stopala navznoter (varus) in navzven (valgus), pri čemer varus predstavlja približno dve tretjini giba.

01. Vzroki artritisa spodnjega skočnega sklepa
- Travmatske poškodbe (zlomi, izpahi, zvini)
- Revmatoidni artritis
- Dolgotrajna imobilizacija po zlomu kosti ali poškodbi Ahilove tetive
- Zapleti po operativnih posegih
02. Simptomi
- Bolečina v predelu spodnjega skočnega sklepa
- Tog občutek v stopalu
- Otekanje po daljšem obremenjevanju
- Težave pri hoji po neravnem terenu
03. Možni zapleti nezdravljenega artritisa
- Kronična bolečina in izguba gibljivosti
- Nestabilnost stopala
- Povečana obraba drugih sklepov stopala in gležnja
⚠ Ne čakajte, da bolečina postane stalna – začnite zdravljenje čim prej!
04. Rehabilitacija in zdravljenje
Konzervativno zdravljenje:
- Manualna terapija – oscilacije, mobilizacije za izboljšanje artrokinematike, trakcije za zmanjšanje bolečine
- Instrumentalne terapije – Tecar, HiToP, ESWT, laser, ultrazvok
- Specialna terapevtska vadba – krepitev mišic, izboljšanje propriocepcije in stabilnosti
Kirurško zdravljenje:
- Le v redkih primerih, ko konzervativno zdravljenje ne prinese izboljšanja
- Po operaciji sledi individualno prilagojena rehabilitacija
05. FAQ
- Kako prepoznam, ali gre za artritis spodnjega skočnega sklepa? Diagnozo potrdi specialist ortoped ali fizioterapevt po kliničnem testiranju in po potrebi slikovni diagnostiki.
- Ali lahko z vadbo izboljšam stanje? Da, pravilna specialna terapevtska vadba zmanjša bolečino, izboljša gibljivost in stabilnost.
- Je zdravljenje boleče? Večina terapij je nebolečih, olajšanje pa pogosto občutite že po nekaj obiskih.
- Kako hitro lahko začnem z rehabilitacijo? Priporočljivo je začeti takoj po postavitvi diagnoze.
Lezije peronealnih
MIŠIC
Peronealne mišice se nahajajo ob zunanjem robu gležnja in stopala. Omogočajo gibanje stopala navzdol (plantarna fleksija) in navzven (everzija), hkrati pa so pomembne za stabilnost gležnja.
Do lezij pride zaradi akutnih poškodb, dlje trajajoče preobremenitve ali kot posledica drugih patologij (npr. metatarzalnega artritisa).

01. Vrste lezij
- Poškodba tetive
- Poškodba tetivne ovojnice
- Poškodba narastišča tetive
02. Simptomi
- Bolečino ob zunanjem robu gležnja ali stopala
- Otekanje in občutek toplote v predelu poškodbe
- Slabšo stabilnost gležnja
- Težave pri hoji ali teku
03. Zakaj je pomembno hitro ukrepanje?
Nezdravljene lezije peronealnih mišic lahko vodijo v:
- Kronično vnetje
- Oslabelost mišic
- Povečano tveganje za zvine gležnja
- Spremembe v gibanju, ki obremenijo druge sklepe
⚠ Čim prej poiščite strokovno pomoč – hitra diagnostika pomeni hitrejše okrevanje.
04. Rehabilitacija in zdravljenje
- Manualna terapija
- Sproščanje napetih struktur okoli lezije
- Globoka prečna frikcija za pravilno in hitrejše celjenje tetivnih vlaken
- Zmanjšanje bolečine in vnetja
- Instrumentalne terapije
- Tecar, laser, HiToP, ESWT, ultrazvok za pospešitev regeneracije
- Individualna specialna terapevtska vadba
- Krepitev mišic za izboljšanje stabilnosti gležnja
- Odpravljanje mišičnih asimetrij
- Preprečevanje ponovnih poškodb
05. FAQ
- Kako prepoznam lezijo peronealne mišice? Najpogostejši znak je bolečina ob zunanjem robu gležnja, ki se pojavi pri gibanju ali obremenitvi.
- Kako poteka diagnostika? Po kliničnem pregledu lahko opravimo dodatne slikovne preiskave (UZ, MRI) za natančno določitev mesta lezije.
- Kako dolgo traja zdravljenje? Trajanje je odvisno od stopnje poškodbe, vendar se z ustrezno terapijo napredek vidi že po nekaj obiskih.
- Ali so terapije boleče? Večina terapij je nebolečih, nekatere manualne tehnike pa lahko povzročijo kratkotrajno občutljivost.
Lezije Ahilove
TETIVE
Do poškodb pride zaradi:
- Preobremenitve (nenadno povečanje intenzivnosti treninga, sprememba podlage ali obutve)
- Nepravilne biomehanike stopala in gležnja
- Nezdravljenih predhodnih patologij

01. Vrste poškodb Ahilove tetive
- Peritendinitis – vnetje tetivne ovojnice
- Tendinitis / Tendinoza – degenerativne in vnetne spremembe v tetivi
- Ruptura (raztrganina) – delna ali popolna pretrganost tetive
02. Simptomi lezij Ahilove tetive
- Bolečina v zadnjem delu gležnja ali peti
- Oteklina in občutek toplote
- Zategnjenost mečnih mišic
- Težave pri hoji, teku ali stoji na prstih
03. Zdravljenje in rehabilitacija
- Akutna faza (peritendinitis, zgodnja tendinoza)
- Omejitev športne dejavnosti za 2+ tedna
- Manualna terapija (sproščanje okoliških struktur, globoka prečna frikcija)
- Instrumentalne terapije (Tecar, laser, HiToP, ultrazvok)
- Raztezne vaje in individualno prilagojena vadba
- Napredovala tendinoza (3. in 4. faza)
- Manualna terapija + instrumentalna terapija
- Specialna terapevtska vadba za krepitev in odpravo asimetrij
- Postopno vračanje k športu z nadzorovanimi obremenitvami
- Ruptura (delna ali popolna)
- Konzervativno ali operativno zdravljenje (odloča ortoped)
- Po operaciji: manualna terapija, mobilizacije, frikcije
- Ins
04. Zakaj izbrati nas?
- Vsa uradna dovoljenja za izvajanje fizioterapij s strani Ministerstva za zdravje in Združenja fizioterapevtov Slovenije
- Izkušeni fizioterapevti in manualni terapevti
- Brez čakalnih dob – hitra obravnava
- Kombinacija manualnih in instrumentalnih metod za optimalne rezultate
- Lokacija: Ravne na Koroškem – dostopno iz Prevalj, Dravograda, Mežice, Črne na Koroškem, Slovenj Gradca in Mislinje
05. FAQ
- Kako razlikovati med tendinitisom in rupturo? Tendinitis povzroča postopno naraščajočo bolečino, medtem ko ruptura povzroči nenadno, močno bolečino in nezmožnost hoje na prstih.
- Kako dolgo traja zdravljenje? Pri blagih poškodbah nekaj tednov, pri rupturi pa več mesecev.
- Ali lahko še naprej treniram? Pri akutnih poškodbah je priporočena popolna omejitev obremenitev, dokler se stanje ne izboljša.
- Ali terapije bolijo? Večina je nebolečih, nekatere manualne tehnike lahko povzročijo rahlo občutljivost.
SEVERJEVA
bolezen
Severjeva bolezen (calcaneal apophysitis) je pogosta težava pri športno aktivnih otrocih in mladostnikih, starih med 8 in 15 let, zlasti pri tistih, ki se ukvarjajo s športi z veliko skoki (npr. nogomet, košarka, odbojka, atletika).
Nastane zaradi ponavljajoče se obremenitve Ahilove tetive, kar povzroči mikropoškodbe apofize na zadnjem robu petnice (tuber calcanei).

01. Simptomi Severjeve bolezni
- Bolečina v zadnjem delu pete, ki se poveča pri teku in skakanju
- Občutljivost ob pritisku na petnico
- Zategnjenost mečnih mišic
- Rahla oteklina ali pordelost
⚠ Pogosto starši mislijo, da gre za “navadno rastno bolečino”, vendar je pri Severjevi bolezni potrebna ciljana terapija.
02. Zdravljenje in rehabilitacija
- Akutna faza
- Zmanjšanje ali začasna prekinitev športne aktivnosti
- Manualna terapija (sproščanje okoliških tkiv, zmanjšanje napetosti Ahilove tetive)
- Instrumentalne terapije (laser, Tecar, HiToP) za zmanjšanje bolečine in vnetja
- Korektivna faza
- Raztezanje celotnega spodnjega uda (zlasti mečnih mišic in stopal)
- Specialna terapevtska vadba za krepitev mišic, izboljšanje stabilnosti in preprečevanje ponovitve
- Preventiva
- Učenje pravilne tehnike skokov in pristankov
- Svetovanje o ustrezni obutvi za športne aktivnosti
03. Zakaj izbrati Center fizioterapije šepul
- Uradna dovoljenja za izvajanje zdravstvenih storitev in fizioterapije (Ministerstvo za zdravje in Združenje fizioterapevtov Slovenije)
- Specializirani fizioterapevti za delo z mladimi športniki
- Hitna obravnava – brez čakalnih vrst
- Celovit pristop: diagnostika + manualna + instrumentalna terapija + vadba
- Lokacija: Ravne na Koroškem – dostopno iz Prevalj, Dravograda, Mežice, Črne na Koroškem, Slovenj Gradca in Mislinje
04. FAQ
- Ali Severjeva bolezen mine sama od sebe? Da, običajno po koncu rasti, a s pravilno terapijo zmanjšamo bolečino in omogočimo športno aktivnost brez prekinitev.
- Ali je potrebno prenehati s športom? V akutni fazi zmanjšamo intenzivnost, nato postopoma vračamo obremenitev.
- Kako dolgo traja zdravljenje? Večinoma 4–8 tednov, odvisno od resnosti in odziva na terapijo.
- Ali lahko pride do zapletov? Brez ustreznega zdravljenja se lahko težave ponavljajo in vplivajo na biomehaniko hoje ter teka.
Lezija zadnje
golenične mišice
Lezija se lahko pojavi na različnih mestih:
- Vnetje tetive
- Vnetje tetivne ovojnice
- Vnetje narastišča tetive

01. Simptomi lezije zadnje golenične mišice
- Bolečina na notranji strani gležnja ali stopala
- Občutljivost ob dotiku medialnega maleola
- Slabša stabilnost pri hoji ali teku
- Težave pri ohranjanju notranjega stopalnega loka
- Otekanje v predelu tetive
⚠ Nezdravljena lezija lahko povzroči povešanje stopalnega loka in kronično nestabilnost gležnja.
02. Zdravljenje in rehabilitacija
Zdravljenje je konzervativno in poteka ciljno na mestu lezije:
- Manualna terapija
- Sproščanje okoliških struktur
- Globoka prečna frikcija za pravilno in hitrejše celjenje tetive
- Mobilizacijske tehnike za zmanjšanje bolečine in izboljšanje gibljivosti
- Instrumentalna terapija
- Laser, Tecar, HiToP za zmanjšanje vnetja in bolečine ter pospešitev regeneracije
- Individualna terapevtska vadba
- Krepitev mišic stopala in goleni
- Izboljšanje vzdržljivosti in stabilnosti
- Preprečevanje ponovnega vnetja in poškodb
03. Zakaj izbrati nas pri zdravljenju lezije zadnje golenične mišice?
- Vsa uradna dovoljenja za izvajanje fizioterapevtskih obravnav
- Strokovnjaki z izkušnjami pri zdravljenju športnih in ortopedskih poškodb
- Hitna obravnava brez čakalnih vrst
- Celovit pristop: diagnostika + manualna terapija + instrumentalna terapija + vadba
- Lokacija: Ravne na Koroškem – dostopno iz Prevalj, Dravograda, Mežice, Črne na Koroškem, Slovenj Gradca in Mislinje
04. FAQ
- Kako hitro po poškodbi je smiselno začeti z zdravljenjem? Čim prej, saj zgodnje ukrepanje preprečuje kronične spremembe tetive in lok stopala.
- Ali je potrebna operacija? Le redko – večina primerov se uspešno pozdravi s konzervativnim zdravljenjem.
- Kako dolgo traja rehabilitacija? Običajno 4–8 tednov, odvisno od obsega lezije in predhodnega stanja mišic.
- Ali se lezija lahko ponovi? Da, če se ne odpravi vzrok (slaba biomehanika, mišična oslabelost). Zato je vadba ključna.
Vnetje tetive stopalnega loka -Trn v peti
- Tekače
- Osebe s prekomerno telesno težo
- Posameznike z nepravilno biomehaniko stopala
- Ljudje, ki pogosto stojijo dlje časa
- Tiste, ki hitro menjajo obutev (npr. iz natikačev v gorske čevlje)

01. Simptomi
- Bolečina na notranjem robu pete
- Najhujša bolečina v prvih jutranjih korakih ali po daljšem sedenju
- Kasneje bolečina prisotna ves dan, tudi pri manjših obremenitvah
- Občutljivost na dotik (palpacija) prizadetega predela
⚠ Če ignorirate prve znake, lahko pride do kronične bolečine in sprememb v hoji.
02. Zdravljenje in rehabilitacija
Zdravljenje je konzervativno in celostno:
- Manualna terapija
- Sproščanje napetih struktur stopala in goleni
- Globoka prečna frikcija za pospešitev celjenja in zmanjšanje bolečine
- Instrumentalna terapija
- Laser, udarni valovi (ESWT), Tecar ali HiToP za pospešitev regeneracije in zmanjšanje vnetja
- Raztezni protokoli
- Raztezanje mišic meč in stopalnega loka
- Izboljšanje gibljivosti in zmanjšanje pritiska na tetivo
- Individualna terapevtska vadba
- Krepitev stopalnega loka in stabilizatorjev gležnja
- Preprečevanje ponovitve težav
03. FAQ
- Ali je trn v peti vedno posledica kalcinacije? Ne, bolečina pogosto nastane zaradi vnetja tetive in ne zaradi kalcinacije.
- Kako hitro se bolečina lahko zmanjša? Ob ustrezni terapiji se izboljšanje običajno občuti že po nekaj obravnavah.
- Ali se stanje lahko ponovi? Da, če se ne odpravi vzrok (npr. biomehanika, obutev, mišična šibkost).
- Ali je potrebna operacija? V večini primerov ne – konzervativno z
Sindrom
tarzalnega tunela
Najpogosteje so prizadeti:
- Osebe z težavami s ščitnico, sladkorno boleznijo, revmatoidnim artritisom ali osteoartritisom
- Posamezniki po poškodbah gležnja ali z biomehanskimi spremembami stopala

01. Simptomi sindroma tarzalnega tunela
- Pekoča bolečina na notranji strani stopala in pod stopalnim lokom
- Mravljinci ali izguba občutka (parestezije)
- Bolečina, ki se lahko širi po notranji strani goleni ali stegna
- Slabša mišična moč upogibalk prstov
- Poveč
02. Zdravljenje in rehabilitacija
Pri Centru fizioterapije Šepul izvajamo celovit pristop:
- Manualna terapija
- Sproščanje napetih struktur okrog tarzalnega tunela
- Mobilizacija tibialnega živca za zmanjšanje pritiska
- Instrumentalna terapija
- Laser, Tecar, HiToP ali ESWT za zmanjšanje vnetja in bolečine
- Raztezne tehnike
- Ciljno raztezanje stopalnih in golenskih mišic
- Izboljšanje gibljivosti in zmanjšanje pritiska na živce
- Individualna terapevtska vadba
- Krepitev mišic stopala in gležnja
- Vaje za stabilizacijo in preprečitev ponovitve težav
03. FAQ
- Ali je sindrom tarzalnega tunela podoben sindromu karpalnega kanala? Da, gre za podobno težavo, le da prizadene stopalo in gleženj namesto zapestja.
- Kako dolgo traja zdravljenje? Ob zgodnji obravnavi se simptomi lahko omilijo v nekaj tednih, pri kroničnih težavah pa traja dlje.
- Ali je operacija potrebna? V večini primerov je možno uspešno konzervativno zdravljenje, operacija je redka in skrajna možnost.
- Ali se stanje lahko ponovi? Da, če se ne odpravi osnovni vzrok (npr. biomehanika stopala, brazgotine, ponavljajoče obremenitve).
Trdi palec (Hallux rigidus)
Hallux rigidus je degenerativna oblika artritisa prvega metatarzofalangealnega (MTP) sklepa, pri katerem pride do zmanjšane gibljivosti palca in bolečin na zgornji strani stopala. Pogosto prizadene starejšo populacijo, vendar se lahko pojavi tudi pri mlajših ljudeh – zlasti po poškodbah ali zaradi biomehanskih sprememb stopala.

01. Simptomi trdega palca
- Bolečina med palcem in stopalom, zlasti na zgornji strani
- Zmanjšana gibljivost palca – občutek, da se “ne da iztegniti”
- Bolečina pri hoji, predvsem pri odrivu stopala
- Možna oteklina ali togost sklepa
- Ovirano nošenje določenih čevljev
02. Zdravljenje in rehabilitacija
V Centru fizioterapije Šepul uporabljamo celosten, individualno prilagojen pristop:
- Manualna terapija
- Sproščanje okoliških tkiv in mišic
- Mobilizacijske tehnike za izboljšanje gibljivosti (artrokinematika sklepa, oscilacije)
- Tehnike za zmanjšanje bolečine in odstranitev blokad
- Instrumentalna terapija
- Laser, Tecar, HiToP ali ESWT za zmanjšanje vnetja in bolečine
- Specialna terapevtska vadba
- Krepitev mišic stopala in gležnja
- Vaje za povečanje obsega gibljivosti palca
- Preprečevanje ponovnega pojava težav
- Individualno svetovanje
- Prilagoditev obutve in ortopedski pripomočki
- Preprečevanje dodatnih poškodb in preobremenitev
03. Zakaj izbrati Center fizioterapije Šepul?
- Uradna dovoljenja za izvajanje fizioterapij s strani MZ in ZFS
- Strokovnjaki za obravnavo stopalnih patologij
- Hitna obravnava brez čakalnih vrst
- Celovit pristop: diagnostika + manualna terapija + instrumentalna terapija + vadba
- Lokacija: Ravne na Koroškem – dostopno iz Prevalj, Dravograda, Mežice, Črne na Koroškem, Slovenj Gradca in Mislinje
04. FAQ
- Ali je hallux rigidus enako kot hallux valgus (bunion)? Ne. Hallux valgus je deformacija palca, hallux rigidus pa degenerativna omejitev gibljivosti zaradi artritisa.
- Ali se stanje lahko pozdravi brez operacije? V mnogih primerih se simptomi znatno zmanjšajo z ustrezno fizioterapijo, vadbo in spremembami obutve.
- Kako dolgo traja rehabilitacija? Pri blagih oblikah nekaj tednov, pri napredovalih pa več mesecev.
- Ali je operacija zadnja možnost? Da, poseg se izvaja le, če konzervativno zdravljenje ne prinese rezultatov.
Deformacija nožnega palca-Hallux valgus
Poznamo tri oblike:
- Metatarzalna kost pomaknjena navznoter, prva falanga v normalni legi
- Metatarzalna kost normalno, prva falanga pomaknjena navzven
- Najpogostejša: metatarzalna kost navznoter, prva falanga navzven

01. Simptomi hallux valgusa
stabilnost ni prizadeta.
2. stopnja – delno raztrganje vezi, zmerna bolečina in oteklina, manjša
nestabilnost, oteženo obremenjevanje.
3. stopnja – popolno pretrganje vezi, močna bolečina in oteklina, popolna
nestabilnost, obremenjevanje ni mogoče.
02. Zdravljenje in rehabilitacija
V Centru fizioterapije Šepul uporabljamo celosten pristop – od diagnostike do rehabilitacije:
- Manualna terapija
- Sproščanje okoliških tkiv in mišic
- Mobilizacijske tehnike za korekcijo položaja palca
- Artrokinematika sklepa in oscilacijske tehnike za zmanjšanje bolečine
- Instrumentalna terapija
- Laser, Tecar, HiToP ali ESWT za zmanjšanje vnetja in bolečine
- Specialna terapevtska vadba
- Vaje za krepitev mišic stopala in gležnja
- Korekcija stopalnega loka in položaja palca
- Preprečevanje ponovnega nastanka deformacije
- Pooperativna rehabilitacija Če pride do operacije, izvedemo individualno prilagojen program za obnovo gibljivosti, moči in stabilnosti stopala.
03. Zakaj izbrati nas?
- Dovoljenje za izvajanje zdravstvenih storitev in fizioterapije s strani Ministerstva za zdravje in Združenja fizioterapevtov Slovenije
- Strokovnjaki za obravnavo deformacij stopala
- Brez čakalnih vrst – začetek terapije takoj
- Celosten pristop: diagnostika + manualna terapija + instrumentalna terapija + vadba
- Lokacija: Ravne na Koroškem – dostopno iz Prevalj, Dravograda, Mežice, Črne na Koroškem, Slovenj Gradca in Mislinje
04. FAQ
- Ali se hallux valgus lahko pozdravi brez operacije? V zgodnjih fazah lahko simptome zmanjšamo z ustrezno fizioterapijo, vadbo in prilagoditvijo obutve.
- Kako hitro po operaciji lahko hodim? Običajno že po nekaj dneh, vendar je popolna rehabilitacija odvisna od vrste posega in traja več tednov do mesecev.
- Ali nošenje opornic pomaga? Opornice lahko začasno zmanjšajo simptome, vendar same ne odpravijo deformacije.
- Koliko terapij bom potreboval? Odvisno od stopnje deformacije – običajno 6–12 obiskov za opazno izboljšanje.
Mortonov
NEVROM
Mortonov nevrom je zadebelitev živčnega tkiva, najpogosteje med tretjim in četrtim prstom stopala, ki nastane zaradi pritiska ali draženja živca. Povzroča pekočo bolečino, občutek, kot da hodite po kamnih, in mravljinčenje. Pogosto ga povzročijo neprimerna obutev, preobremenitve ali biomehanske spremembe stopala.

01. Simptomi Mortonovega nevroma
- Pekoča bolečina v sprednjem delu stopala
- Mravljinčenje ali odrevenelost prstov
- Občutek tujka ali “kamna v čevlju”
- Bolečina, ki se stopnjuje pri hoji ali stoji
02. Zdravljenje in rehabilitacija
V Centru fizioterapije Šepul uporabljamo celosten pristop, prilagojen posamezniku:
- Manualna terapija
- Sproščanje okoliških tkiv in zmanjšanje pritiska na živec
- Mobilizacija stopalnih sklepov za izboljšanje gibljivosti in poravnave
- Tehnike za zmanjšanje bolečine
- Instrumentalna terapija
- Laser, Tecar, HiToP ali ESWT za zmanjšanje vnetja in bolečine
- Specialna terapevtska vadba
- Krepitev mišic stopala
- Vaje za korekcijo biomehanike stopala
- Vaje za preprečevanje ponovitve težav
- Individualno svetovanje
- Prilagoditev obutve in uporaba ortopedskih vložkov
- Nasveti za preprečevanje preobremenitev
03. Zakaj izbrati Center fizioterapije Šepul - Ravne na Koroškem?
- Uradna dovoljenja za izvajanje fizioterapije s strani ZFS in MZ
- Strokovnjaki za obravnavo stopalnih težav
- Hitna obravnava brez čakalnih vrst
- Celovit pristop: diagnostika + manualna terapija + instrumentalna terapija + vadba
- Lokacija: Ravne na Koroškem – dostopno iz Prevalj, Dravograda, Mežice, Črne na Koroškem, Slovenj Gradca in Mislinje
04. FAQ
- Ali Mortonov nevrom vedno zahteva operacijo? Ne, v večini primerov težave uspešno rešimo s fizioterapijo in prilagoditvijo obutve.
- Kako dolgo traja zdravljenje? Običajno od nekaj tednov do nekaj mesecev, odvisno od stopnje težave.
- Ali se lahko vrnem k športu? Da, s pravilno rehabilitacijo in preventivnimi vajami.
- Kako lahko preprečim ponovitev? Z ustrezno obutvijo, vajami in odpravo biomehanskih vzrokov.
Metatarzalgija
Metatarzalgija je boleče stanje, ki prizadene področje glavic stopalnic (metatarzalnih kosti) v sprednjem delu stopala. Pogosto se pojavi pri športnikih, ljudeh, ki veliko hodijo, nosijo visoke pete ali imajo nepravilno biomehaniko stopala. Dolgotrajne obremenitve povzročijo draženje mehkih tkiv in včasih stiskanje živcev.

01. Simptomi metatarzalgije
- Bolečina ali pekoč občutek v sprednjem delu stopala
- Občutek hoje po kamenčkih
- Oteklina ali občutljivost ob pritisku
- Težave pri nošenju določenih čevljev
02. Zdravljenje in rehabilitacija
- Manualna terapija
- Sproščanje mehkih tkiv in zmanjšanje pritiska na občutljive strukture
- Mobilizacija stopalnih sklepov
- Tehnike za izboljšanje porazdelitve obremenitev
- Instrumentalna terapija
- Laser, Tecar, HiToP ali ESWT za zmanjšanje vnetja in bolečine
- Specialna terapevtska vadba
- Vaje za krepitev mišic stopala in gležnja
- Korekcijske vaje za izboljšanje biomehanike
- Vaje za preprečevanje ponovitve težav
- Individualno svetovanje
- Prilagoditev obutve in ortopedskih vložkov
- Nasveti za spremembo aktivnosti in obremenitev
03. Zakaj izbrati nas?
- Uradna dovoljenja za izvajanje zdravstvenih storitev s strani Ministerstva za zdravje in Združenja fizioterapevtov Slovenije
- Strokovnjaki za zdravljenje stopalnih bolečin
- Brez čakalnih vrst – hitra obravnava
- Celovit pristop: diagnostika + terapija + vadba
- Lokacija: Ravne na Koroškem – dostopno iz Prevalj, Dravograda, Mežice, Črne na Koroškem, Slovenj Gradca in Mislinje
04. FAQ
- Ali je metatarzalgija trajno ozdravljiva? Da, ob ustrezni terapiji in odpravi vzroka se težava pogosto popolnoma reši.
- Ali moram prenehati s športom? Začasno zmanjšanje aktivnosti je priporočljivo, dokler bolečina ne izzveni.
- Kako dolgo traja zdravljenje? Običajno nekaj tednov do nekaj mesecev, odvisno od resnosti.
- Ali so ortopedski vložki nujni? Pri večini pacientov bistveno pomagajo pri porazdelitvi obremenitev.
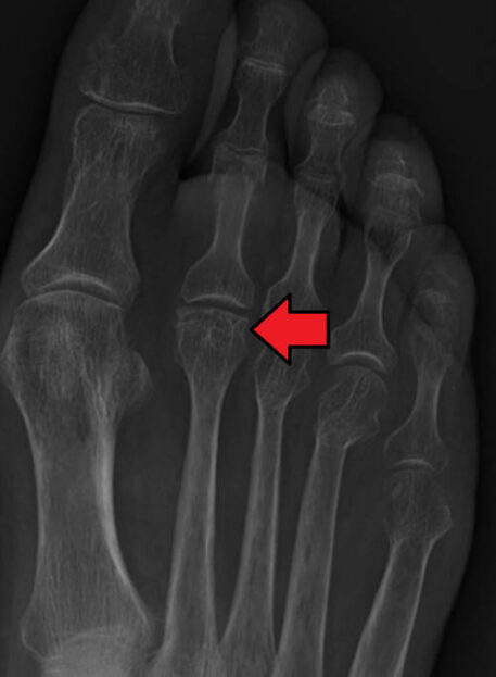
Freibergova bolezen
2. prsta
Freibergova bolezen je aseptična nekroza (odmiranje kostnega tkiva) glave 2. stopalnice, ki nastane zaradi motene prekrvitve. Pogosto se pojavi pri otrocih in mladostnikih, zlasti pri tistih, ki se ukvarjajo s športi, kjer je veliko skokov ali obremenitev sprednjega dela stopala.

01. Simptomi Freibergove bolezni
- Bolečina v predelu 2. prsta in metatarzofalangealnega sklepa
- Oteklina in občutljivost
- Togost sklepa in zmanjšana gibljivost
- Povečana bolečina pri obremenitvah
02. Zdravljenje in rehabilitacija
- Manualna terapija
- Sproščanje okoliških tkiv in zmanjšanje pritiska na prizadeto kost
- Mobilizacija sklepa za ohranjanje gibljivosti
- Tehnike za zmanjšanje bolečine
- Instrumentalna terapija
- Laser, Tecar, HiToP za spodbujanje prekrvitve in celjenja
- Specialna terapevtska vadba
- Vaje za krepitev mišic stopala in gležnja
- Vaje za ohranjanje gibljivosti 2. prsta
- Vaje za razbremenitev sprednjega dela stopala
- Individualno svetovanje
- Prilagoditev obutve za zmanjšanje pritiska
- Priporočila glede športnih aktivnosti
03. FAQ
- Ali se Freibergova bolezen lahko pozdravi brez operacije? V večini primerov da, če se odkrije zgodaj in razbremeni prizadeti sklep.
- Ali je primerna fizioterapija pri otrocih? Da, izvajamo prilagojene in varne tehnike za mlajše paciente.
- Kako dolgo traja zdravljenje? Od nekaj tednov do več mesecev, odvisno od stopnje okvare.
- Ali bo otrok lahko nadaljeval s športom? Da, po uspešni rehabilitaciji in postopnem vračanju k aktivnosti.